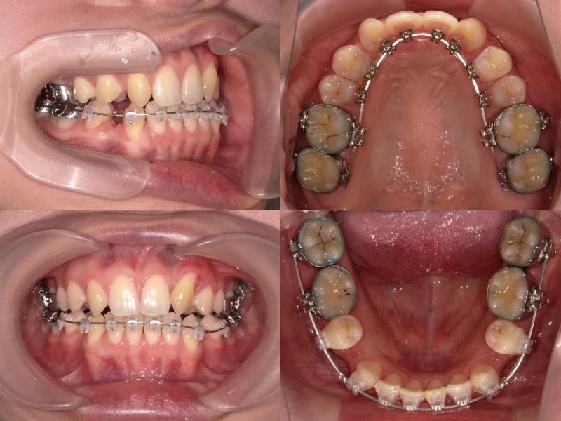
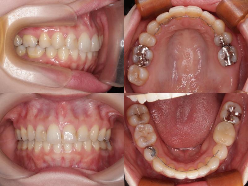
上下顎前突、過蓋咬合および左上7番の根尖性歯周炎の治療
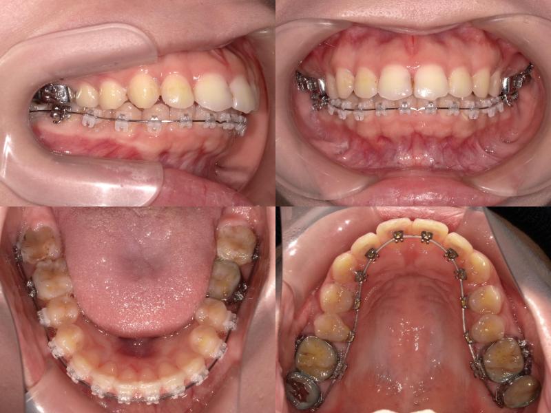
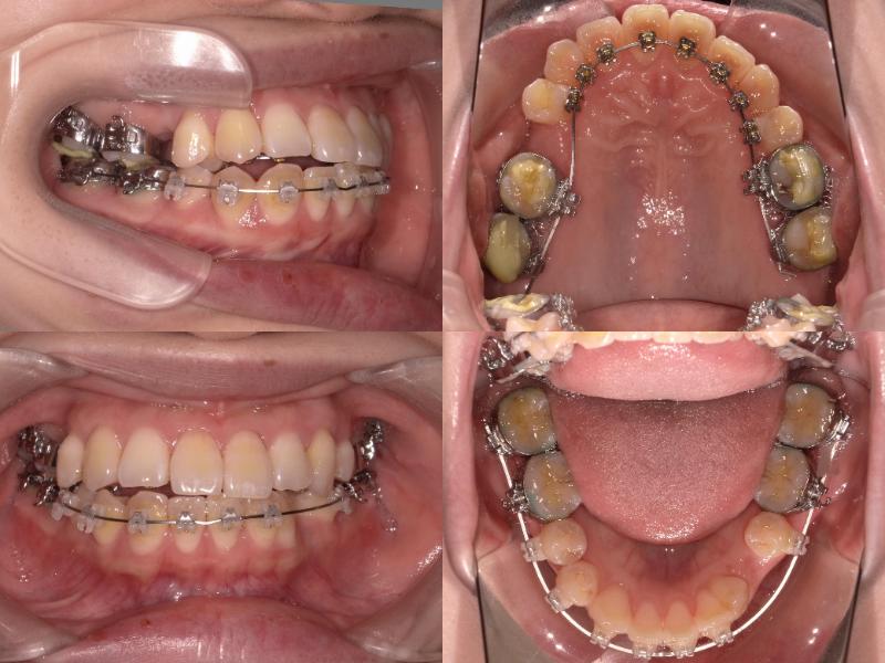
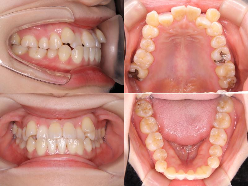
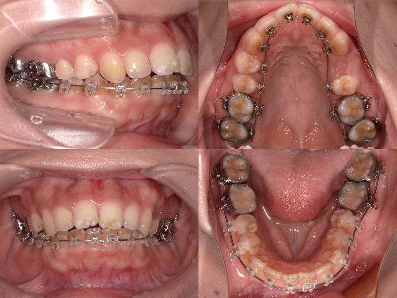
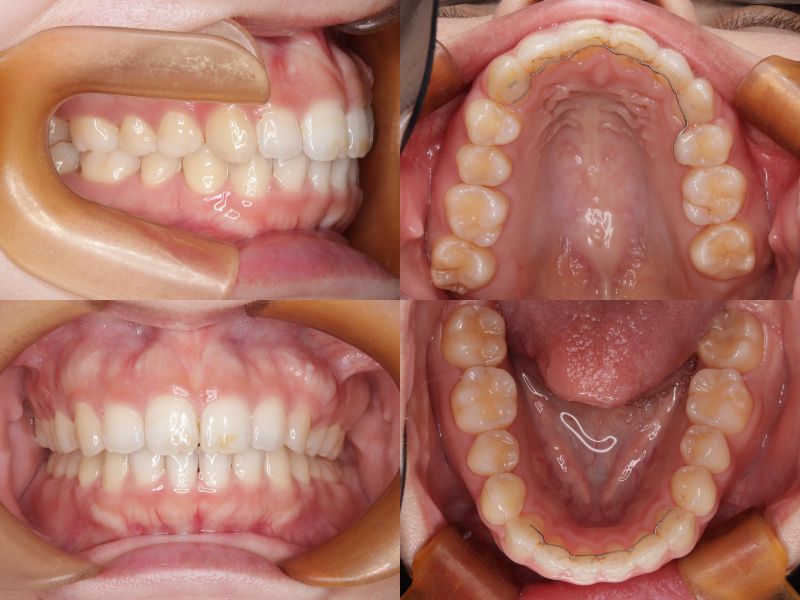
上下左右5番を抜歯し、上顎6番を口蓋正中縫合部からアンカースクリューで固定。
さらに、上顎2・3番の間に埋入したアンカースクリューから前歯を圧下し、口元の突出感とディープバイトの改善を図りました。
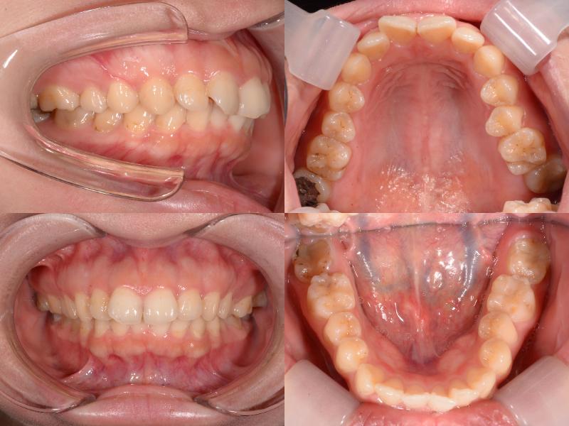
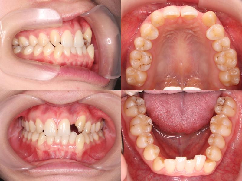
左上7番は再根管治療を行いできるだけ保存しましたが、矯正治療途中で症状が悪化したため抜歯となりました。
治療期間:2年7ヵ月

谷木院長による症例解説
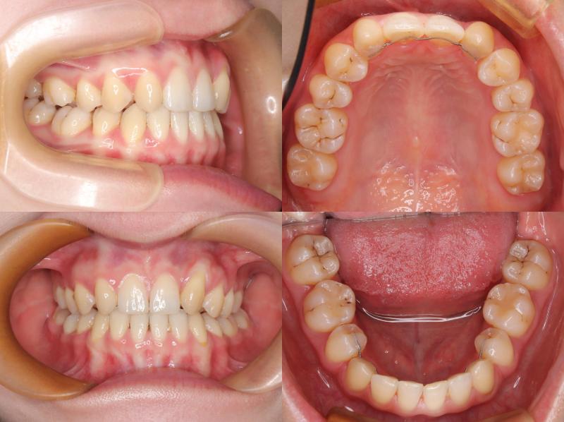
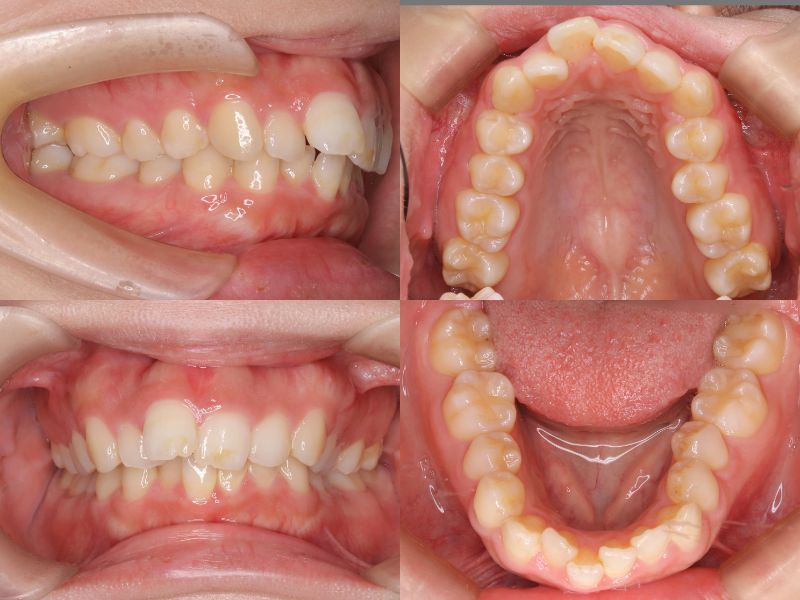
初診時年齢25歳1ヵ月の患者様です。
口元の突出感を主訴にご来院されました。
過蓋咬合と左上7番の根尖性歯周炎が認められたため、通常であれば上下左右4番を抜歯しますが、上下左右5番が処置歯であったため、5番を抜歯しました。
左上7番は再根管治療を行い経過観察としていましたが、治療途中で症状が悪化したため抜歯となりました。
上顎6番を口蓋正中縫合部からアンカースクリューで固定し、さらに上顎2・3間に埋入したアンカースクリューから前歯を圧下しました。
通院は1ヵ月ごとに行っていただきました。
治療の結果、口元の突出感とディープバイトの改善が認められ、より自然で調和のとれた横顔を得ることができました。
リスク
ディープバイトの小臼歯抜歯症例では、噛み合わせがより深くなるリスクがあります。
この症例では、上顎前歯唇側にアンカースクリューを2本埋入し、上顎前歯の圧下を行うことでリスクをコントロールしました。
また、根尖性歯周炎を伴う歯への力の負担を最小限にするよう配慮しています。