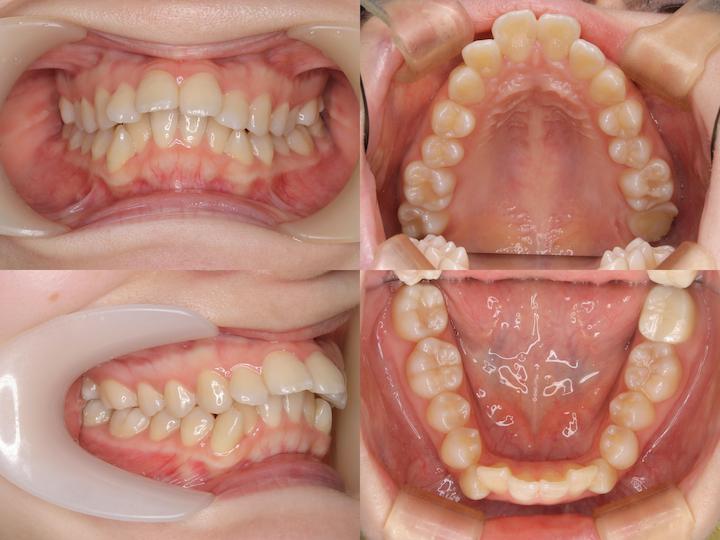
口元の突出感改善
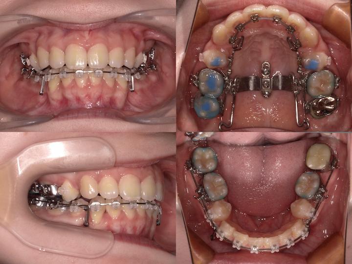
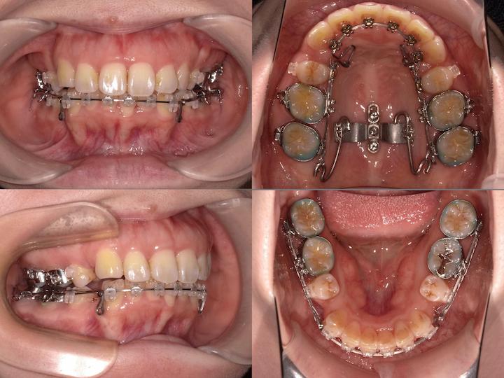
上下顎4番を抜歯して、前歯を後方に移動しました。
さらに大臼歯関係Cl.Ⅱだったことより、上顎大臼歯の遠心移動も行いました。
治療期間:2年11ヶ月

谷木院長による症例解説
治療方法
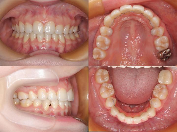
初診時年齢33歳5ヶ月の患者様です。口の閉じ辛さと歯の重なりを主訴にご来院されました。
上下左右4番を抜歯してアンカースクリューで上顎6番を遠心移動しながら前歯を後方に牽引しました。
さらに上顎大臼歯を圧下(上方向に移動)して下顎骨の前上方への回転を促しました。
リスク
本症例は前歯の移動量が大きいことから上顎前歯が切歯孔にぶつかるリスクがあります。初診時とアンカースクリュー埋入時のCTデータから歯根の位置を確認しながら上顎前歯の後方移動を行いました。
費用
治療費は1,430,000円でした。