上下正中不一致の上下小臼歯非抜歯での治療
上顎親知らずを抜歯して、上下の歯の中心を合わせました。
治療期間:1年

谷木院長による症例解説
治療方法
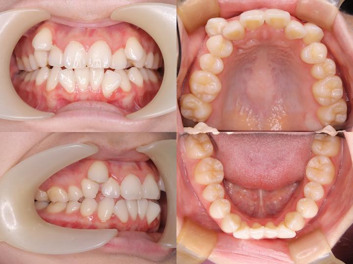
初診時年齢24歳8ヶ月の患者様です。上下の歯の中心のずれと前歯が噛み合わないことを主訴にご来院されました。
口元の突出感はなかったため小臼歯は非抜歯としました。
精密検査より顔面正中と下顎の歯の中心が一致しており、上顎の中心を下顎の中心に合わせる治療計画を立案しました。
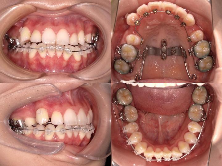
上顎の左右8番を抜歯してアンカースクリューで上顎の前歯を右方に移動し、上下の歯の中心を一致させました。
通院頻度は1ヶ月に1回です。
リスク
正中を合わせるため左上の犬歯を右側に移動すると、反対側の右側の犬歯および小臼歯は、外側に押し出されるため歯肉退縮のリスクがあります。事前にCTで骨の厚みを確認し、治療中も歯肉の状態を観察しながら慎重に進めました。
治療結果
上下の中心が一致し、前歯は良好な咬合状態を獲得しました。費用
治療費は1,320,000円でした。