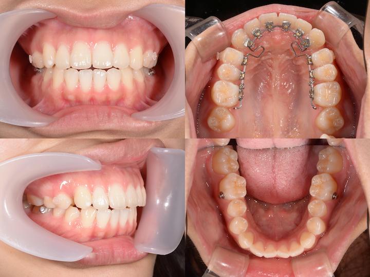
八重歯の部分矯正
上顎は裏側矯正で、下顎は表側矯正で治療しました。
治療期間:11ヶ月

谷木院長による症例解説
治療方法
初診時年齢23歳3ヶ月、大阪市内在住の患者様です。八重歯と開咬を主訴にご来院されました。
できるだけ早く、また費用を抑えたいというご要望から、第一大臼歯までの部分矯正を選択しました。
上顎は裏側矯正、下顎は表側矯正のハーフリンガルで対応しています。
左上は犬歯を配列するために第一小臼歯を抜歯し、右上は大臼歯の遠心移動によってスペースを確保しました。
遠心移動にはカリエールディスタライザーを使用し、効率的な移動を実現しています。
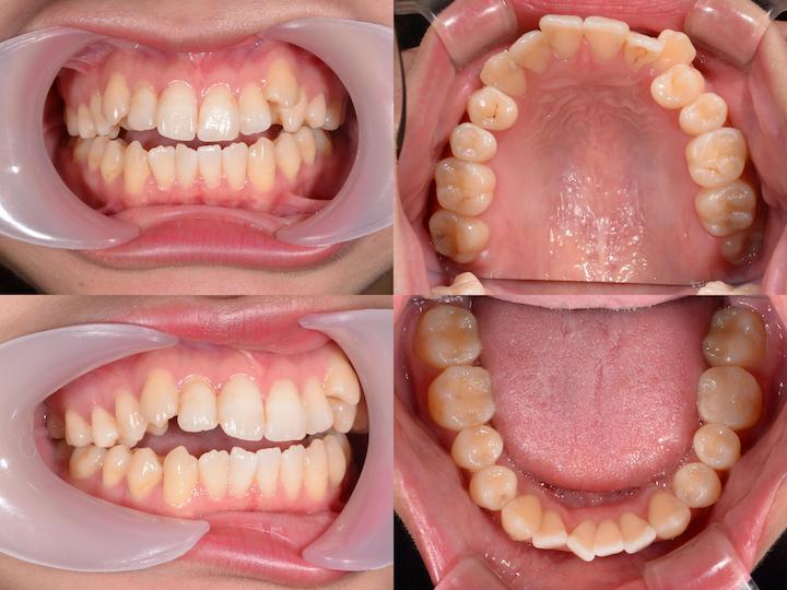
治療期間は11ヶ月、月1回の通院で完了しました。
リスク
部分矯正は噛み合わせを崩すリスクがあるため、大臼歯の咬合に注意しながら慎重に治療を進めました。治療結果
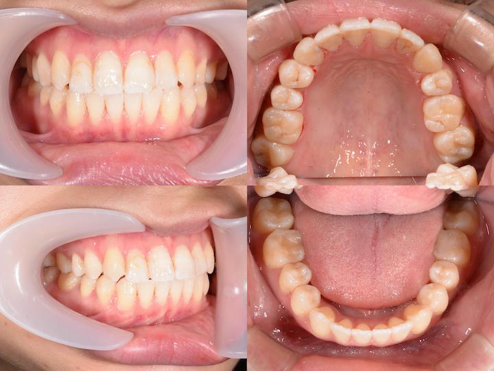
八重歯と開咬が改善され、良好な咬合状態が得られました。費用
治療費は総額918,000円でした。