上下前歯叢生と上下顎前突のハーフリンガルでの治療
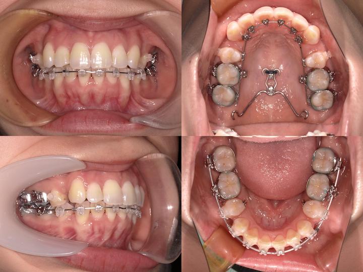
上顎は裏側矯正で、下顎は表側矯正で治療しました。
この症例ではアンカースクリューはPLAS(パラタルレバーアームシステム)を使用しています。
治療期間:2年1ヶ月

谷木院長による症例解説
治療方法
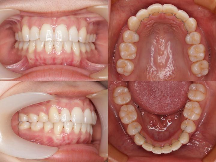
初診時年齢25歳11ヶ月、大阪市内在住の患者様です。歯並びのガタつきと口元の突出感を主訴にご来院されました。
下顎前歯の叢生が重度であったことと口元の突出感があったことから、上下左右第一小臼歯の抜歯が必要と診断しました。
さらに、前歯の後方移動時に奥歯が前方に移動しないよう、正中口蓋縫合部にPLAS(パラタルレバーアームシステム)を植立し、大臼歯を固定しています。
上顎は裏側矯正、下顎は表側矯正装置のハーフリンガルで対応しました。
通院頻度は月1回です。
リスク
重度の叢生改善の際には歯肉退縮を惹起する恐れがあります。前歯部ができるだけフレアアウト(前方に傾斜)しないよう、ボーンハウジングに注意しながら治療を進めました。
また、大臼歯の咬合を崩さないよう注意深く観察しながら進めています。
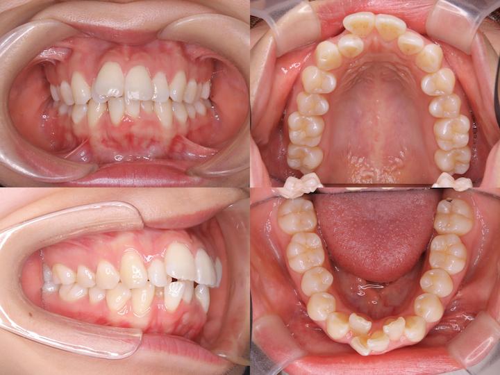
治療結果
叢生と口元の突出感が改善され、良好な咬合状態が得られました。費用
費用は総額で税込143万円でした。