上下前歯叢生と八重歯の上下裏側矯正での治療
症例概要
本症例は、上下顎前歯部の著しい叢生および犬歯の低位唇側転位(八重歯)を主訴とする患者様に対し、上下顎ともに舌側矯正装置を使用して治療を行いました。
高度なアーチレングスディスクレパンシーを改善するため、上下小臼歯の計4本を抜歯し、適切な咬合関係の確立を図りました。
また、AngleⅡ級臼歯関係の改善を目的として、下顎大臼歯を近心移動する治療計画を採用しました。
治療期間:1年11ヶ月

谷木院長による症例解説
患者情報と主訴
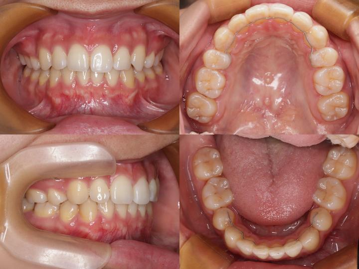
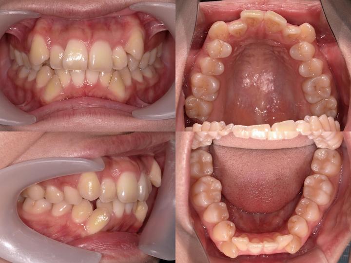
初診時年齢:29歳8ヶ月居住地:大阪市内
主訴:上下前歯部の叢生および犬歯の低位唇側転位(八重歯)
診断と治療計画
診断所見
初診時の口腔内所見として、以下の不正咬合が認められました。・上下顎前歯部の重度叢生
・犬歯の低位唇側転位(八重歯)
・著しいアーチレングスディスクレパンシー
・AngleⅡ級臼歯関係(下顎大臼歯の後方位)
・口唇部の突出感は認められない
治療方針
重度のアーチレングスディスクレパンシーを解消し、適切な咬合関係を確立するため、上下左右小臼歯の抜歯を伴う矯正治療が必要と判断いたしました。また、AngleⅡ級臼歯関係の改善のため、下顎大臼歯を近心移動する計画を立案しました。
なお、口唇部に突出感が認められないことから、治療後の口元の後退を最小限に抑える配慮が必要と考えました。
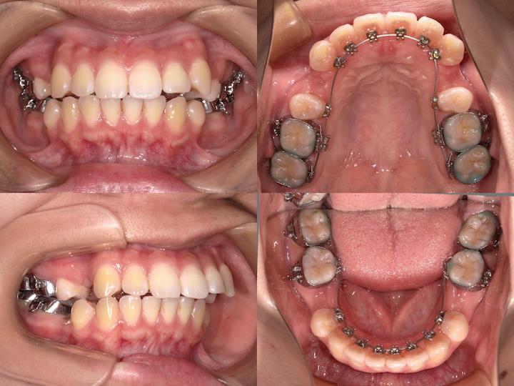
治療方法
抜歯部位
・上顎:左右第一小臼歯(4番)・下顎:左右第二小臼歯(5番)
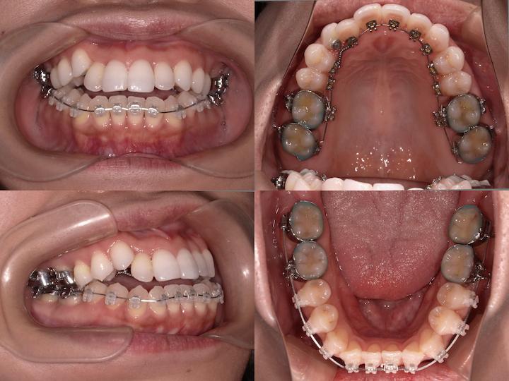
矯正装置
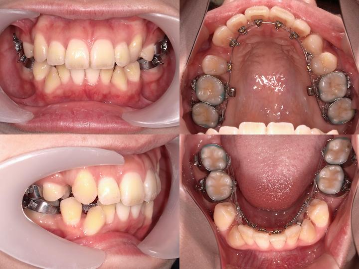
上下顎ともに舌側矯正装置(リンガルブラケット)を使用し、審美性に配慮した治療を実施いたしました。アンカレッジコントロール
上顎においては、犬歯の後方牽引時における大臼歯の不要な近心移動を防止するため、正中口蓋縫合部にPLAS(パラタルレバーアームシステム)を植立し、マキシマムアンカレッジ(最大固定)を確立しました。これにより、上顎大臼歯を確実に固定し、治療後の口元の形態を維持することができました。
一方、下顎においては、AngleⅡ級臼歯関係の改善を図るため、大臼歯の近心移動を許容する治療メカニクスを採用いたしました。
治療期間・通院頻度
・総治療期間:1年11ヶ月・通院頻度:月1回
リスクマネジメント
重度叢生症例における小臼歯抜歯治療では、犬歯の後方牽引時における反作用により大臼歯が近心移動し、結果として口唇部が治療前より突出してしまうリスクが存在します。本症例では、以下の戦略を採用することで、このリスクを最小化しました。
・上顎大臼歯のマキシマムアンカレッジ:PLAS(パラタルレバーアームシステム)を使用し、上顎大臼歯の位置を確実に維持
・計画的な下顎大臼歯の近心移動:AngleⅡ級臼歯関係の改善範囲内での移動に制限
・口元の形態評価:治療過程における側貌の変化を継続的にモニタリング
これらの対策により、下顎大臼歯は適度な近心移動を行いましたが、上顎大臼歯の位置は維持され、口元の形態に悪影響を及ぼすことなく治療を完了することができました。
治療結果
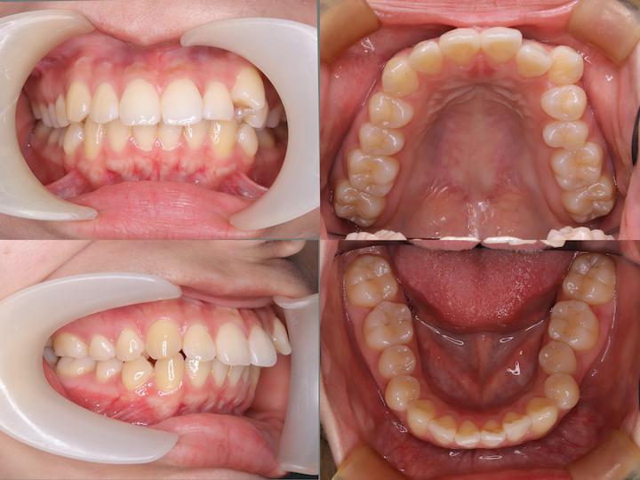
上下顎前歯部の叢生は完全に改善され、犬歯も適切な位置に配列されました。また、AngleⅡ級臼歯関係も改善し、機能的かつ審美的に良好な咬合状態を獲得することができました。
口元の形態も治療前の良好な状態を維持しており、患者様からも高い満足度をいただいております。
まとめ
本症例は、重度叢生と犬歯の低位唇側転位を呈する成人症例であり、舌側矯正装置による審美的治療を実施しました。重度叢生症例における最大の課題は、抜歯スペース閉鎖時の固定管理です。
本症例では、上顎にPLAS(パラタルレバーアームシステム)を使用することで、上顎大臼歯の確実な固定を実現し、口元の形態を維持しながら治療を完了することができました。
また、下顎大臼歯の適度な近心移動により、AngleⅡ級臼歯関係も改善され、機能的に優れた咬合を獲得できた症例です。
費用
総額:172.8万円(税込)
※分割払いをご利用いただけます(月々17,660円より)
※分割払いをご利用いただけます(月々17,660円より)