叢生と口元の突出感のハーフリンガルでの治療
症例概要
本症例は、叢生および口唇部の突出感を主訴とする患者様に対し、ハーフリンガル矯正装置(上顎舌側・下顎唇側)を使用して治療を行いました。
下顎骨の後方位を伴うハイアングル症例であったため、上顎大臼歯の圧下を治療計画に組み込み、下顎骨のアンチクロックワイズローテーション(反時計回り回転)を誘導することで、口唇部の突出感改善と良好な咬合関係の確立を目指しました。
治療期間:1年5ヶ月

谷木院長による症例解説
患者情報と主訴
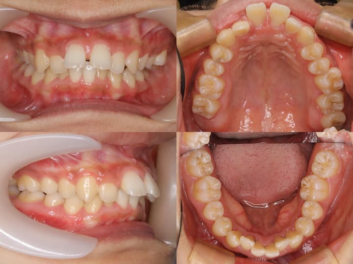
初診時年齢:27歳2ヶ月居住地:大阪市内
主訴:歯列不正および口唇部の突出感
診断と治療計画
診断所見
初診時の口腔内所見および頭部X線規格写真分析より、以下の所見が認められました。・上下顎前歯部の叢生
・口唇部の突出感
・AngleⅠ級臼歯関係(良好な臼歯関係)
・下顎骨の後方位(ハイアングル症例)
・下顎下縁平面角の増大
治療方針
本症例の特徴は、良好なAngleⅠ級臼歯関係を有する一方で、下顎骨の後方位により口唇部の突出感が生じている点です。このような症例では、単純な抜歯スペース閉鎖だけでなく、垂直的な咬合改善が重要となります。
そこで、以下の治療戦略を立案いたしました。
・上下左右第一小臼歯の抜歯による叢生の改善
・上顎大臼歯の圧下による下顎骨のアンチクロックワイズローテーション誘導
・AngleⅠ級臼歯関係の維持
・口唇部突出感の改善
上顎大臼歯の圧下により下顎骨を反時計回りに回転させることで、オトガイ部の前方移動と下顔面高の減少を図り、口唇部の突出感を改善する計画としました。
治療方法
抜歯部位
・上顎:左右第一小臼歯(4番)・下顎:左右第一小臼歯(4番)
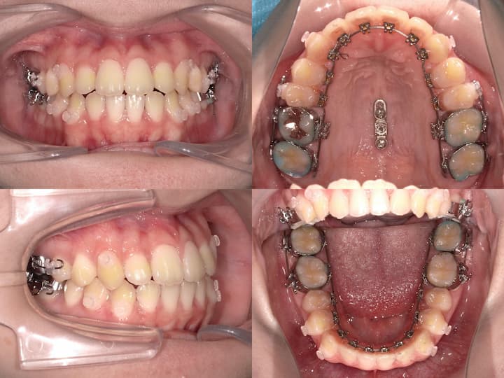
矯正装置
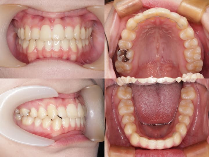
ハーフリンガル矯正装置を採用し、上顎は舌側矯正装置(リンガルブラケット)、下顎は唇側矯正装置(ラビアルブラケット)を使用しました。上顎大臼歯の圧下とアンカレッジコントロール
本症例の治療成功の鍵は、上顎大臼歯の確実な圧下とAngleⅠ級臼歯関係の維持にあります。以下の治療メカニクスを採用しました。
・i-station(歯科矯正用アンカースクリュー)の植立:正中口蓋縫合部に植立し、上顎大臼歯の固定源として使用
・上顎大臼歯の圧下:i-stationからの圧下力により、上顎大臼歯を垂直的に圧下
・上顎大臼歯の固定:抜歯スペース閉鎖時の近心移動を防止し、AngleⅠ級臼歯関係を維持
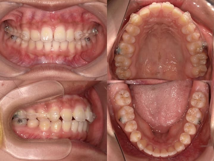
咬合平面のコントロール
上顎大臼歯の圧下に際し、適切な咬合平面を維持するため、以下の対策を講じました。・フルサイズワイヤーの使用:.018×.025インチTMA(チタンモリブデン合金)ワイヤーを使用し、臼歯部のみが選択的に圧下するように設計
・パラタルバーの装着:上顎大臼歯の幅径を維持し、歯列弓形態の安定を確保
・前歯部の垂直的位置の維持:大臼歯圧下時に前歯部が挺出しないよう、ワイヤーで適切にコントロール
治療期間・通院頻度
総治療期間:1年5ヶ月通院頻度:月1回
リスクマネジメント
上顎大臼歯の圧下を伴う治療では、臼歯部にオープンバイト(開咬)を引き起こすリスクが存在します。特に、大臼歯のみが圧下され、前歯部が相対的に挺出してしまうと、前歯部での咬合接触が強くなり、臼歯部の咬合が失われる可能性があります。
本症例では、以下の対策を講じることで、このリスクを回避しました。
・フルサイズTMAワイヤーの使用:.018×.025インチのTMAワイヤーを使用することで、上顎歯列全体を一体として扱い、大臼歯のみが選択的に圧下するメカニクスを構築
・パラタルバーによる歯列弓形態の安定:左右大臼歯をパラタルバーで連結し、幅径の変化を防止
・前歯部の垂直的位置管理:ワイヤーにより前歯部の挺出を抑制し、適切な咬合平面を維持
・定期的な咬合状態の評価:治療過程における臼歯部の咬合接触を継続的に確認
これらの緻密な咬合管理により、臼歯部のオープンバイトを生じることなく、上顎大臼歯の圧下を達成することができました。
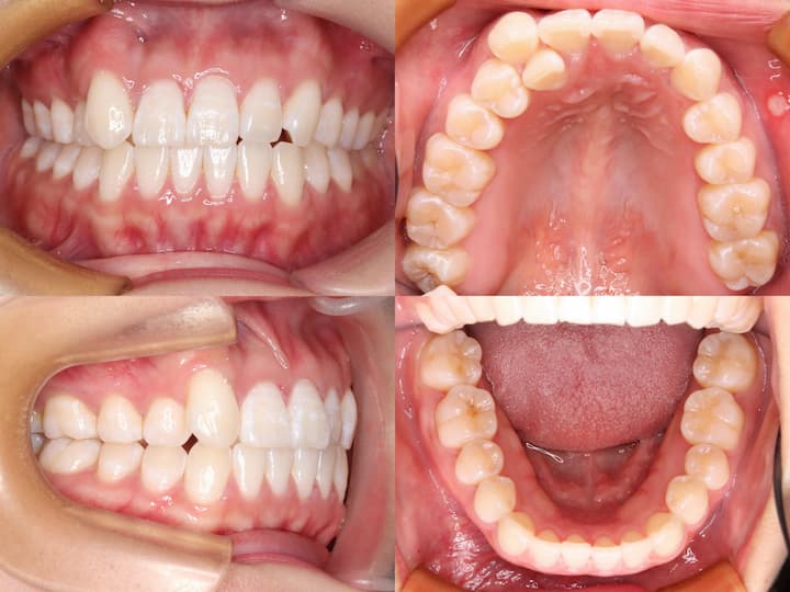
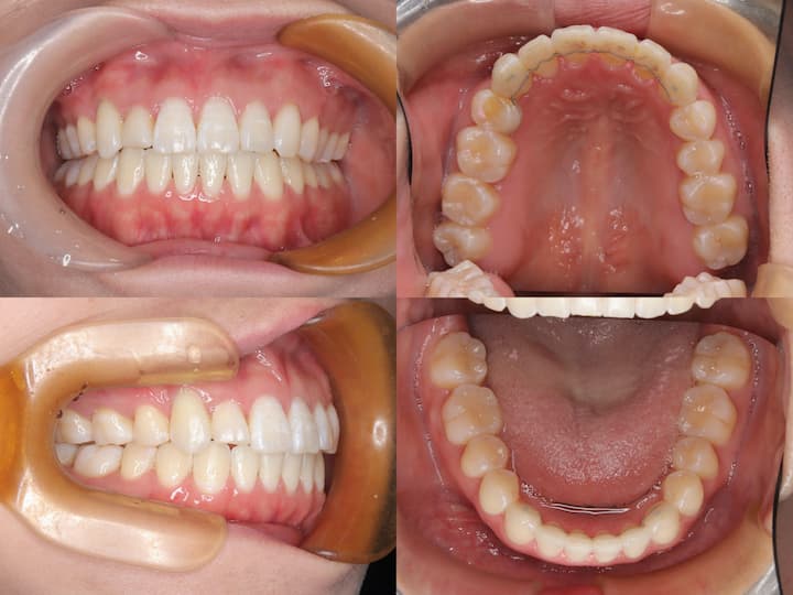
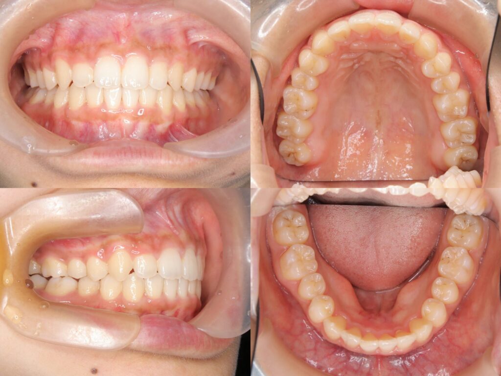
治療結果
上顎大臼歯の圧下により下顎骨のアンチクロックワイズローテーションが誘導され、口唇部の突出感は著明に改善されました。また、叢生も解消され、AngleⅠ級臼歯関係を維持したまま、機能的かつ審美的に優れた咬合状態を獲得することができました。
臼歯部の咬合も良好に保たれ、患者様からも高い満足度をいただいております。
まとめ
本症例は、下顎骨の後方位を伴うハイアングル症例であり、口唇部の突出感が主訴の一つでした。このような症例では、上顎大臼歯の圧下による下顎骨のアンチクロックワイズローテーションが有効な治療戦略となります。
i-stationを用いた確実な固定源の確保と、フルサイズTMAワイヤーおよびパラタルバーによる緻密な咬合管理により、臼歯部のオープンバイトを生じることなく、大臼歯の圧下を達成することができました。
その結果、AngleⅠ級臼歯関係を維持しながら、口唇部の突出感を改善し、優れた治療結果を得ることができた症例です。
費用
総額:143万円(税込)
※分割払いをご利用いただけます(月々14,614円より)
※分割払いをご利用いただけます(月々14,614円より)