八重歯のハーフリンガル矯正での改善
症例概要
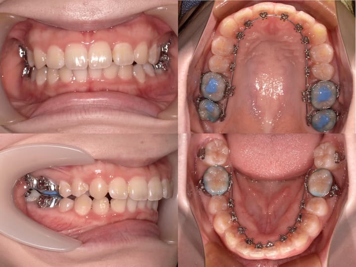
本症例は、叢生および犬歯の低位唇側転位(八重歯)を主訴とする患者様に対し、ハーフリンガル矯正装置(上顎舌側・下顎唇側)を使用して治療を行いました。
口唇部の突出感が認められなかったため、下顎は非抜歯とし、上顎のみ左右第一小臼歯を抜歯する治療計画を採用しました。
犬歯は歯根が長く移動に伴う副作用が生じやすいため、歯科矯正用アンカースクリューを使用して上顎大臼歯を確実に固定し、犬歯の配列スペースを確保しながら治療を進めました。
治療期間:1年6ヶ月

谷木院長による症例解説
患者情報と主訴
初診時年齢:24歳11ヶ月主訴:歯列不正および犬歯の低位唇側転位(八重歯)
診断と治療計画
診断所見
初診時の口腔内所見より、以下の所見が認められました。・上下顎前歯部の叢生
・上顎犬歯の低位唇側転位(八重歯)
・アーチレングスディスクレパンシー
・口唇部の突出感は認められない
治療方針
本症例の特徴は、上顎の叢生と犬歯の低位唇側転位が著明である一方、口唇部の突出感が認められない点です。このような症例では、上下顎の抜歯を行うと口元が過度に後退してしまうリスクがあります。
そこで、上顎のみの抜歯により叢生を改善し、良好な口唇部プロファイルを維持する治療計画を立案しました。
治療目標は以下の通りです。
・上顎左右第一小臼歯の抜歯による叢生の改善
・犬歯の適切な配列(八重歯の改善)
・下顎は非抜歯で配列
・良好な口唇部プロファイルの維持
・上顎大臼歯の前後的位置の維持
治療方法
抜歯部位
上顎:左右第一小臼歯(4番)下顎:非抜歯
矯正装置
ハーフリンガル矯正装置を採用し、上顎は舌側矯正装置(リンガルブラケット)、下顎は唇側矯正装置(ラビアルブラケット)を使用しました。上顎大臼歯の固定とアンカレッジコントロール
犬歯の後方牽引時には、反作用として上顎大臼歯が近心に移動するリスクがあります。大臼歯が近心移動してしまうと、犬歯を配列するためのスペースが不足し、治療目標を達成できなくなる可能性があります。
そこで本症例では、歯科矯正用アンカースクリューを使用して上顎第一大臼歯(6番)を確実に固定しました。
固定された大臼歯を固定源として犬歯(3番)を後方に牽引することで、抜歯スペースを効率的に閉鎖し、犬歯を適切な位置に配列することができました。
治療期間・通院頻度
総治療期間:1年6ヶ月通院頻度:月1回
リスクマネジメント
犬歯は全ての歯の中で最も歯根が長く、歯列の中で重要な役割を担っています。低位唇側転位した犬歯を配列する際には、以下のような特有のリスクが存在します。
主なリスク
・隣接歯の不要な挺出:犬歯を牽引する際、歯根が長いため隣接する歯(側切歯や第一小臼歯)が犬歯に引き上げられ、前歯部にオープンバイト(開咬)が生じるリスク・大臼歯の過度な近心移動:犬歯の後方牽引時の反作用により、大臼歯が予定以上に近心移動し、犬歯の配列スペースが不足するリスク
リスク管理戦略
本症例では、以下の戦略を採用することで、これらのリスクを最小化しました。・アンカースクリューによる大臼歯の確実な固定:上顎第一大臼歯(6番)をアンカースクリューで固定し、近心移動を防止
・固定源からの直接牽引:固定された大臼歯から直接犬歯(3番)を牽引することで、力のコントロールを最適化
・段階的な犬歯の移動:急激な移動を避け、段階的に犬歯を配列することで、隣接歯への影響を最小化
・継続的な咬合評価:治療過程における前歯部の垂直的関係を定期的に確認し、オープンバイトの兆候を早期発見
これらの緻密な治療管理により、隣接歯の不要な挺出や大臼歯の過度な近心移動を防止し、犬歯を理想的な位置に配列することができました。
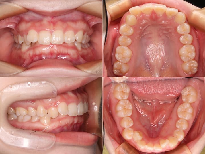
治療結果
犬歯の低位唇側転位(八重歯)は完全に改善され、上下顎の叢生も解消されました。アンカースクリューによる確実な固定管理により、上顎大臼歯の位置も維持され、前歯部のオープンバイトも生じることなく治療を完了することができました。
上顎のみの抜歯により、良好な口唇部プロファイルも維持され、機能的かつ審美的に優れた咬合状態を獲得することができました。
患者様からも高い満足度をいただいております。
症例解説(谷木院長)
本症例は、犬歯の低位唇側転位を主訴とする成人症例であり、口唇部の突出感がなかったため、上顎のみの抜歯治療を選択しました。犬歯は歯根が長いため、配列時には隣接歯の不要な挺出や大臼歯の過度な近心移動といったリスクが存在します。
本症例では、アンカースクリューによる大臼歯の確実な固定と、固定源からの直接牽引というメカニクスを採用することで、これらのリスクを最小化しました。
その結果、前歯部のオープンバイトを生じることなく、犬歯を理想的な位置に配列し、良好な咬合を獲得できた症例です。
費用
総額:143万円(税込)
※分割払いをご利用いただけます(月々14,614円より)
※分割払いをご利用いただけます(月々14,614円より)