開咬(オープンバイト)、下顎空隙歯列、反対咬合(受け口)、下顎骨左方偏位のマウスピース矯正での治療
開咬(オープンバイト)、下顎空隙歯列、反対咬合、下顎骨左方偏位を、マウスピース矯正で治療しました。
治療期間:11ヶ月

谷木院長による症例解説
治療方法
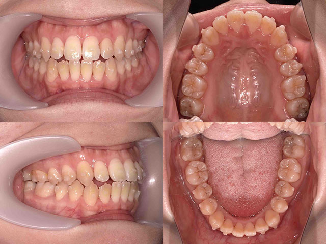
初診時年齢16歳0ヶ月の患者様です。開咬(オープンバイト)、下顎空隙歯列、反対咬合、下顎骨左方偏位がみられます。これらの症状に対し、加速装置を併用したマウスピース矯正を行いました。前歯の空隙や左方向への偏位が解消されたことで上下の歯の中心は一致し、前歯がしっかりと咬み合いました。通院は2カ月ごとにしていただきました。
リスク
開咬(オープンバイト)は、矯正治療後に後戻りで前歯が咬みあわなくなるリスクが高いことから、前歯を裏側から針金で固定して保定を行いました。
費用
治療費は総額110万円でした。