下顎前突 (受け口) の矯正治療

こんなお悩みはありませんか?
- ✓
横顔が気になって、写真を避けてしまう
- ✓
口元が強く見えてしまう
- ✓
手術が必要と言われたけれど、迷っている
- ✓
前歯でうまく噛めない
そのようなお悩みで来院される20代〜40代の女性は少なくありません。下顎前突 (受け口) は、見た目の印象だけでなく、将来の歯の健康にも関わる不正咬合です。当院では、女性の横顔バランスと長期的な噛み合わせを大切にしながら、できる限り手術を行わない治療をご提案しています。
下顎前突とは?
下顎前突とは、下顎の骨が前方に出ている、または上顎の成長が不足していることで、下の歯が上の歯より前方に位置してしまう状態です。多くの場合、前歯が反対咬合 (クロスバイト) になります。
-
下の前歯が上の前歯より前に出ている
-
横顔で下顎が強調される
-
口元が強く見える
-
前歯でうまく噛めない
骨格のアンバランスは機能面だけでなく、横顔のEラインやフェイスライン全体のバランスにも影響します。特に女性の方からは、横顔の印象についてのご相談を多くいただきます。
下顎前突を放置するとどうなる?
前歯がうまく機能しないと、奥歯に常に強い負担がかかり続けます。その結果、将来的に奥歯を失うリスクが高まる可能性があります。
東京歯科大学の研究では、80歳で20本以上の歯が残っている方 (いわゆる8020達成者) における反対咬合の割合は0〜1.4%と極めて少ないことが報告されています。
下顎前突は「見た目だけの問題」ではなく、将来の歯を守るうえでも早めに向き合うことが大切です。
下顎前突の治療方法
下顎前突の治療には、「外科矯正」と「非外科矯正 (カモフラージュ治療)」の2つの方向性があります。
| 外科矯正 | 非外科矯正 | |
|---|---|---|
| 適応 | 骨格のズレが大きい場合 | 骨格のズレが中等度まで |
| 方法 | ルフォーI型骨切り術、SSRO等 | アンカースクリュー+歯列移動 |
| 入院 | 必要 | 不要 |
| 保険 | 顎変形症の場合は適用 | 自費診療 |
| 装置の目立ちやすさ | 術前後に矯正装置が必要 | 裏側矯正・マウスピースで目立ちにくい |
外科矯正 (顎変形症・保険適用)
骨格のズレが大きい場合、外科手術が第一選択となります。骨格そのものを改善できるため横顔が大きく変わる可能性がある一方で、入院やダウンタイムが必要であること、治療期間が長くなること、術後に開咬などの問題が生じるリスクがあることも事実です。
当院では外科手術は行っておりません。ただし、精密検査の結果、外科矯正が最善と判断した場合には、専門の医療機関をご紹介しています。
手術をしない矯正治療 (カモフラージュ治療)
骨格のズレが中等度までの場合、手術を行わずに改善できる可能性があります。下顎の親知らずを抜歯したうえでアンカースクリューを使用し、下顎歯列を後方へ移動させながら前歯の傾斜をコントロールする方法です。
反対咬合の改善、臼歯関係の整備、そして見た目のバランス向上が期待できます。手術が不要で入院も必要なく、裏側矯正やマウスピース矯正を用いることで治療中も目立ちにくいという点が、多くの方に選ばれる理由です。
骨格自体が変わるわけではないため、ズレが大きい場合には適応できないこと、また口元を下げすぎると逆に下顎が強調されてしまう場合があることも、正直にお伝えしなければなりません。「どこまで下げるか」の設計こそが、女性の治療では特に重要です。
当院の下顎前突治療の特徴
-
審美設計
Eライン、口元の突出度、フェイスライン全体のバランスまで考慮した治療計画を立てています。
-
目立たない装置
裏側矯正・マウスピース矯正を専門とし、大人女性のライフスタイルに配慮した治療環境を整えています。
-
アンカースクリュー
手術を避けながら、歯の移動の精度を高め、より理想的な口元設計が可能になります。
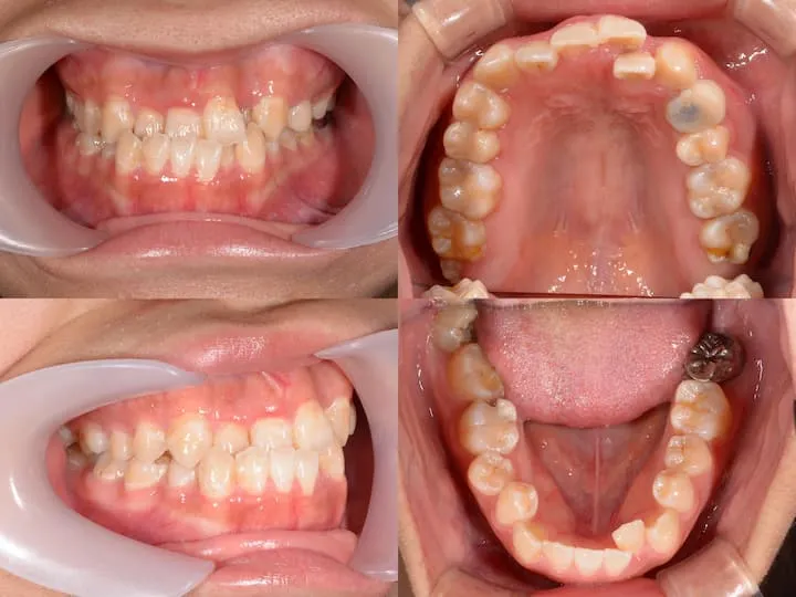
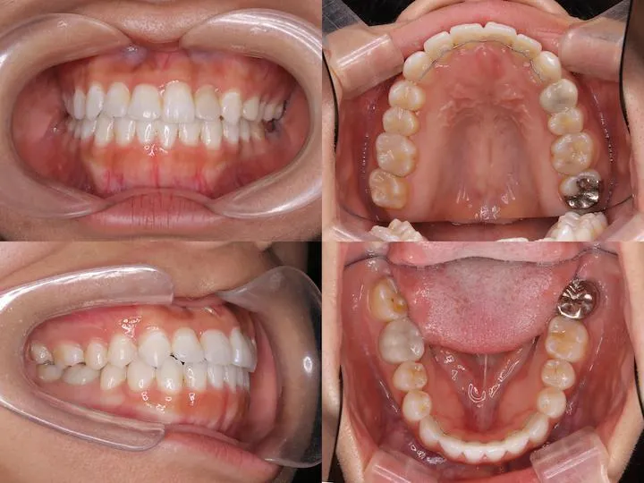
治療例


治療方法
初診時年齢20歳9ヶ月の患者様です。前歯のガタつきと受け口を主訴にご来院されました。大臼歯関係がIII級 (下顎大臼歯近心位) だったため、下顎左右8番を抜歯して顎間ゴムで下顎大臼歯を遠心移動しました。
遠心移動量が足りない場合にはアンカースクリューを用いる予定でしたが、8番抜歯直後に治療を開始したことと、顎間ゴムを長時間使っていただけたため、本症例ではアンカースクリューなしで下顎大臼歯の遠心移動を必要量行うことができました。
| 使用装置 | ハーフリンガル |
|---|---|
| 治療期間 | 1年1ヶ月 |
| 通院頻度 | 1ヶ月に1回 |
| 費用 | 総額 129万6千円 (税込) ※分割払い可 (月々13,245円より) |
手術が必要かどうかの判断基準
手術の要否は、セファロ分析、ANB角、Wits appraisal、下顎突出量、顔貌全体のバランスなどを総合的に評価したうえで判断します。
「手術しかない」と言われた方でも、診断によっては非外科治療で改善できるケースがあります。一方で、改善効果に限界がある場合は、その旨を正直にお伝えしたうえで外科専門医療機関をご紹介しています。
まずは精密検査で、あなたに最適な選択肢をご説明いたします。
よくあるご質問
受け口はマウスピース矯正で治りますか?
大人でも治療できますか?
手術なしでどこまで改善できますか?
横顔は変わりますか?
治療期間はどのくらいですか?
まずはお気軽にご相談ください
下顎前突の治療を考えるうえでは、横顔の印象、将来の歯の寿命、そして女性らしい口元のバランスまでを含めた視点が欠かせません。当院では、「治す」だけでなく「美しく整える」治療を大切にしています。まずはカウンセリングで、現在のお悩みをお聞かせください。