case

治療例

FEATURED CASES

代表的な治療例

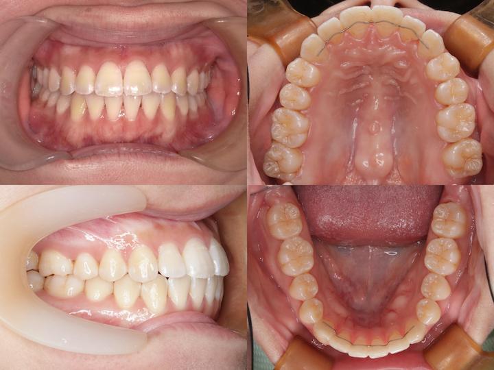
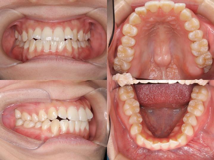
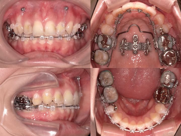
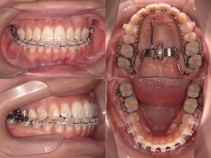
口元の突出感のハーフリンガル矯正

Before
After
治療期間: 1年5ヶ月

上下顎4番を抜歯して、アンカースクリューで大臼歯を固定し、前歯を後方に移動しました。

上下顎4番を抜歯して、アンカースクリューで大臼歯を固定し、前歯を後方に移動しました。

治療方法

初診時年齢24歳10ヶ月の患者様です。
口の閉じ辛さと歯の重なりを主訴にご来院されました。
上下左右4番を抜歯してアンカースクリューで上顎6番を固定して前歯を後方に牽引しました。
さらに下顎骨が後方位だったため、上顎大臼歯を圧下(上方向に移動)して下顎骨の前上方への回転を促しました。

リスク

本症例は治療期間が1年5ヶ月と比較的短く、前歯の移動量が大きいことから後戻りリスクが高くなります。
フィックス型リテーナーで前歯を固定して、その上から1.0mmのマウスピースで後戻りを防止しています。
総額:143万円(税込)
※分割払いをご利用いただけます(月々14,614円より)
アンカースクリュー ハーフリンガル 裏側矯正 1年~2年 口元突出感
症例詳細を見る

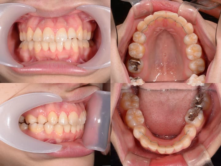
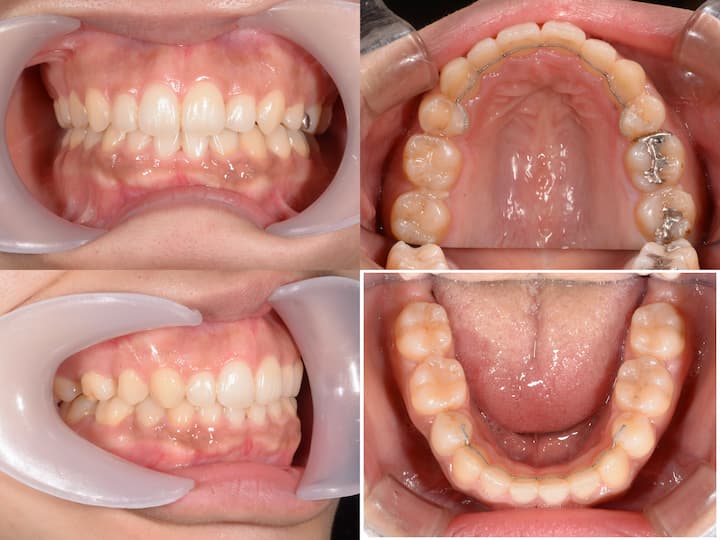
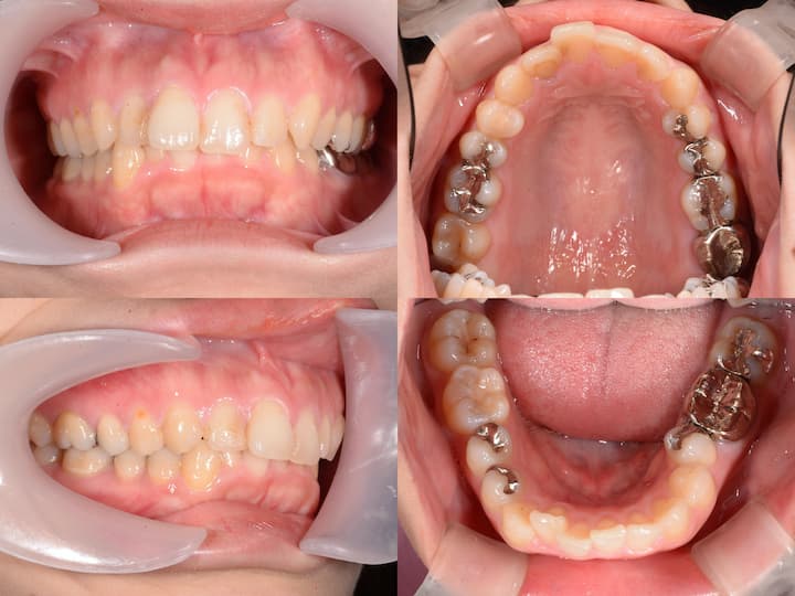
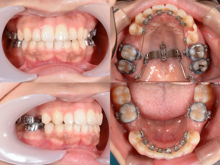
叢生と口元の突出感のハーフリンガル矯正

Before
After
治療期間: 1年5ヶ月

症例概要 本症例は、叢生および口唇部の突出感を主訴とする患者様に対し、ハーフリンガル矯正装置(上顎舌側・下顎唇側)を使用して治療を行いました。 下顎骨の後方位を伴うハイアングル症例であったため、上顎大臼歯の圧下を治療計画 […]

症例概要

本症例は、叢生および口唇部の突出感を主訴とする患者様に対し、ハーフリンガル矯正装置(上顎舌側・下顎唇側)を使用して治療を行いました。
下顎骨の後方位を伴うハイアングル症例であったため、上顎大臼歯の圧下を治療計画に組み込み、下顎骨のアンチクロックワイズローテーション(反時計回り回転)を誘導することで、口唇部の突出感改善と良好な咬合関係の確立を目指しました。

患者情報と主訴

初診時年齢:27歳2ヶ月
居住地:大阪市内
主訴:歯列不正および口唇部の突出感

診断と治療計画

診断所見

初診時の口腔内所見および頭部X線規格写真分析より、以下の所見が認められました。
・上下顎前歯部の叢生
・口唇部の突出感
・AngleⅠ級臼歯関係(良好な臼歯関係)
・下顎骨の後方位(ハイアングル症例)
・下顎下縁平面角の増大

治療方針

本症例の特徴は、良好なAngleⅠ級臼歯関係を有する一方で、下顎骨の後方位により口唇部の突出感が生じている点です。
このような症例では、単純な抜歯スペース閉鎖だけでなく、垂直的な咬合改善が重要となります。
そこで、以下の治療戦略を立案いたしました。
・上下左右第一小臼歯の抜歯による叢生の改善
・上顎大臼歯の圧下による下顎骨のアンチクロックワイズローテーション誘導
・AngleⅠ級臼歯関係の維持
・口唇部突出感の改善
上顎大臼歯の圧下により下顎骨を反時計回りに回転させることで、オトガイ部の前方移動と下顔面高の減少を図り、口唇部の突出感を改善する計画としました。

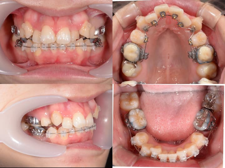
治療方法

抜歯部位

・上顎:左右第一小臼歯(4番)
・下顎:左右第一小臼歯(4番)

矯正装置

ハーフリンガル矯正装置を採用し、上顎は舌側矯正装置(リンガルブラケット)、下顎は唇側矯正装置(ラビアルブラケット)を使用しました。

上顎大臼歯の圧下とアンカレッジコントロール

本症例の治療成功の鍵は、上顎大臼歯の確実な圧下とAngleⅠ級臼歯関係の維持にあります。
以下の治療メカニクスを採用しました。
・i-station(歯科矯正用アンカースクリュー)の植立:正中口蓋縫合部に植立し、上顎大臼歯の固定源として使用
・上顎大臼歯の圧下:i-stationからの圧下力により、上顎大臼歯を垂直的に圧下
・上顎大臼歯の固定:抜歯スペース閉鎖時の近心移動を防止し、AngleⅠ級臼歯関係を維持

咬合平面のコントロール

上顎大臼歯の圧下に際し、適切な咬合平面を維持するため、以下の対策を講じました。
・フルサイズワイヤーの使用:.018×.025インチTMA(チタンモリブデン合金)ワイヤーを使用し、臼歯部のみが選択的に圧下するように設計
・パラタルバーの装着:上顎大臼歯の幅径を維持し、歯列弓形態の安定を確保
・前歯部の垂直的位置の維持:大臼歯圧下時に前歯部が挺出しないよう、ワイヤーで適切にコントロール

治療期間・通院頻度

総治療期間:1年5ヶ月
通院頻度:月1回

リスクマネジメント

上顎大臼歯の圧下を伴う治療では、臼歯部にオープンバイト(開咬)を引き起こすリスクが存在します。
特に、大臼歯のみが圧下され、前歯部が相対的に挺出してしまうと、前歯部での咬合接触が強くなり、臼歯部の咬合が失われる可能性があります。
本症例では、以下の対策を講じることで、このリスクを回避しました。
・フルサイズTMAワイヤーの使用:.018×.025インチのTMAワイヤーを使用することで、上顎歯列全体を一体として扱い、大臼歯のみが選択的に圧下するメカニクスを構築
・パラタルバーによる歯列弓形態の安定:左右大臼歯をパラタルバーで連結し、幅径の変化を防止
・前歯部の垂直的位置管理:ワイヤーにより前歯部の挺出を抑制し、適切な咬合平面を維持
・定期的な咬合状態の評価:治療過程における臼歯部の咬合接触を継続的に確認
これらの緻密な咬合管理により、臼歯部のオープンバイトを生じることなく、上顎大臼歯の圧下を達成することができました。

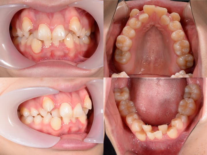
治療結果

上顎大臼歯の圧下により下顎骨のアンチクロックワイズローテーションが誘導され、口唇部の突出感は著明に改善されました。
また、叢生も解消され、AngleⅠ級臼歯関係を維持したまま、機能的かつ審美的に優れた咬合状態を獲得することができました。
臼歯部の咬合も良好に保たれ、患者様からも高い満足度をいただいております。

まとめ

本症例は、下顎骨の後方位を伴うハイアングル症例であり、口唇部の突出感が主訴の一つでした。
このような症例では、上顎大臼歯の圧下による下顎骨のアンチクロックワイズローテーションが有効な治療戦略となります。
i-stationを用いた確実な固定源の確保と、フルサイズTMAワイヤーおよびパラタルバーによる緻密な咬合管理により、臼歯部のオープンバイトを生じることなく、大臼歯の圧下を達成することができました。
その結果、AngleⅠ級臼歯関係を維持しながら、口唇部の突出感を改善し、優れた治療結果を得ることができた症例です。
総額:143万円(税込)
※分割払いをご利用いただけます(月々14,614円より)
アンカースクリュー ハーフリンガル 1年~2年 でこぼこ(叢生) 出っ歯 口元突出感
症例詳細を見る

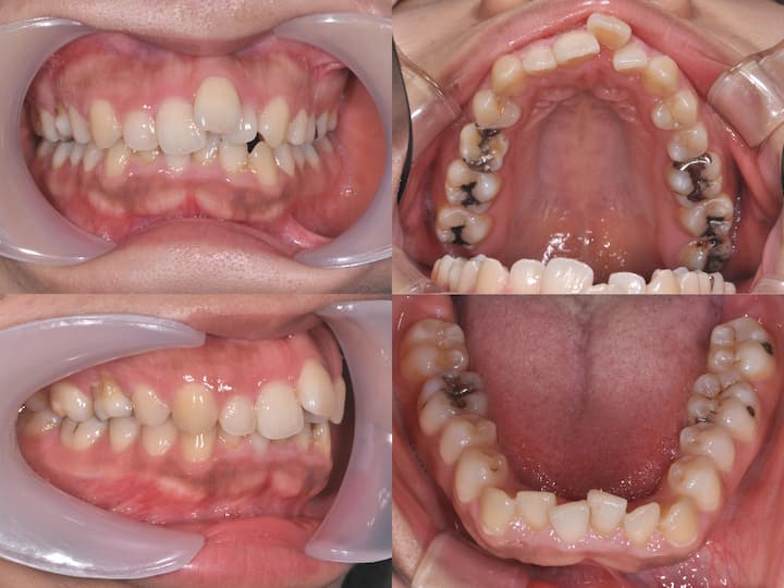
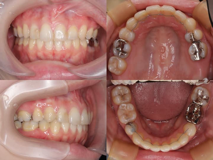
反対咬合のハーフリンガル矯正

Before
After
治療期間: 1年8カ月

前歯の反対咬合と下顎骨の右側偏位を、左下4番抜歯を伴うハーフリンガルで治療しました。

前歯の反対咬合と下顎骨の右側偏位を、左下4番抜歯を伴うハーフリンガルで治療しました。

治療方法

初診時年齢3110ヶ月の患者様です。前歯の反対咬合と下顎骨の右側偏位に対し、左下4番目の歯を抜いてスペースをつくった後、下の前歯を左後方に移動しました。上の歯は裏側に、下の歯には表側に矯正装置をつけるハーフリンガル矯正を行いました。治療後は反対咬合も改善され、噛み合わせたときに上の前歯が下の前歯よりも前にくるようになりました。また、上下の歯の中心も合わせることができました。

 

リスク

反対咬合を改善させる過程では、前歯の干渉により、咬合性外傷(噛み合わせの力が強いことによって歯や歯周組織、顎関節などを損傷すること)を生じるリスクがあります。そのため、こちらの症例では奥歯の高さを調整することで前歯の当たりを調整しながら治療を進めました。

総額:129万6千円(税込)
※分割払いをご利用いただけます(月々13,245円より)
ハーフリンガル 1年~2年 受け口
症例詳細を見る

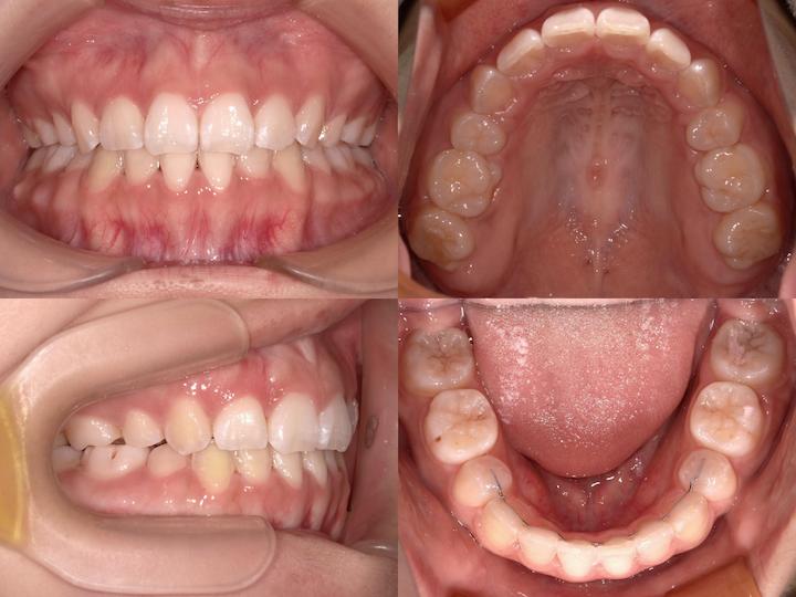
開咬(オープンバイト)のマウスピース矯正治療

Before
After
治療期間: 1年6ヶ月

前歯が噛み合っていないため、上顎臼歯を圧下(上方向に移動)し、上顎前歯は挺出(下方向に移動)して治療を行いました。

前歯が噛み合っていないため、上顎臼歯を圧下(上方向に移動)し、上顎前歯は挺出(下方向に移動)して治療を行いました。

治療名

大臼歯の圧下と上顎前歯の挺出

メンテンス頻度

1ヶ月半に1回程度

治療内容

上顎大臼歯の圧下(上方向に移動)と上顎前歯の挺出(縦に伸ばす)を行いました。下顎前歯は極力挺出させず、下顎骨の回転により前歯を噛み合わせるような治療計画を立てました。

リスク

開咬(オープンバイト)は後戻りにより、治療後に再び前歯が噛み合わなくなるリスクがあります。大臼歯の圧下のみや前歯の挺出のみの治療ではそれぞれの歯の移動量が大きくなり後戻りのリスクが大きくなります。 したがって大臼歯の圧下と前歯の挺出を組み合わせることでそれぞれの歯の動きをできるだけ小さくして後戻りのリスクを減らしています。このケースでは治療終了2年後に前歯が噛み合う状態を維持できています。

総額108万円(税込)
※分割払いをご利用いただけます(120回払い:月々約11,050円)

インビザライン マウスピース矯正 1年~2年 開咬(オープンバイト)
症例詳細を見る

CASE LIST

治療例一覧

選択中のフィルター 全83件

フィルターが選択されていません


治療例

症例

選択中のフィルター 全83件

フィルターが選択されていません


治療例

症例

COUNSELING

初診カウンセリングとは

治療前の疑問など、まずはご相談ください

移転1周年記念 3,000円 無料

当院では初診カウンセリングを行っております。

矯正歯科を専門に行う歯科医師が、歯並びの状態に応じた治療方針をご説明いたします。

治療を始めるか迷っている方も、不安や疑問をお気軽にご相談ください。

カウンセリング風景
症例集 初診相談 LINE相談 WEB予約