院長ブログ
矯正装置の製作工程
デジタルデータからの装置製作
裏側の装置やマウスピース型装置(インビザライン・薬機法対象外)は表側の装置と違い、カスタムメイド(オーダーメード)の装置です。
したがって歯の形状をスキャンしてから様々な工程を経て製作されています。
従来のシリコン印象材での歯型は様々な問題点がありましたが、スキャナの導入により、製作時間の短縮とより精密な装置の製作が可能になりました。

インビザラインの製作工程
現在
- スキャン(ペン型のカメラで口腔内を撮影)
- アメリカのアラインテクノロジー社へスキャンデータを送信
- クリンチェック(治療用3Dシミュレーション)の作成
- 光造形(液体樹脂をレーザーで固める)でインビザラインの制作
- インビザラインが医院に到着(最短で3週間)
従来
- シリコン印象(粘土のような材料を口腔内で固める)
- 歯型を航空便でアメリカのアラインテクノロジーへ発送
- クリンチェック(治療用3Dシミュレーション)の作成
- 光造形(液体樹脂をレーザーで固める)でインビザラインの制作
- インビザラインが医院に到着(最短で5週間)
アソアライナーの製作工程
現在
- スキャン(ペン型のカメラで口腔内を撮影)
- 東京のアソインターナショナルへ送信
- デジタルセットアップモデル(治療後を予測した模型)の作成
- アソアライナーの制作
- 医院に到着(最短で2週間)
従来
- アルジネート印象(粘土のような材料を口腔内で固める)
- 石膏模型を宅急便で東京のアソインターナショナルへ発送
- セットアップモデル(治療後を予測した石膏模型)の作成
- アソアライナーの制作
- 医院に到着(最短で10日間)
裏側矯正装置の製作工程
現在
- スキャン(ペン型のカメラで口腔内を撮影)
- 東京のアソインターナショナルへスキャンデータを送信
- デジタルセットアップモデル(治療後を予測した模型)の作成
- セットアップモデルを使って裏側の装置を制作
- 装置が医院に到着(最短で4週間)
従来
- シリコン印象(粘土のような材料を口腔内で固める)
- 石膏模型を宅急便で東京のアソインターナショナルへ発送
- セットアップモデル(治療後を予測した石膏模型)の作成
- セットアップモデルを使って裏側の装置を制作
- 装置が医院に到着(最短で5週間)
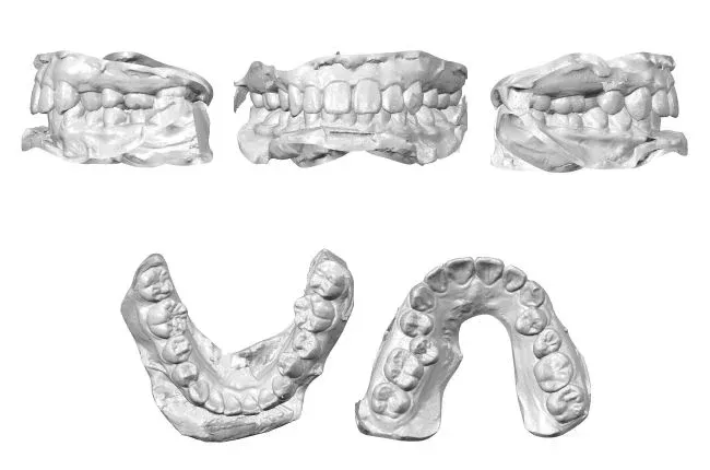
スタッフの口腔内をスキャンした画像がこちら

このデータを加工して治療計画通りにコンピュータ上で歯を並べます。
装置を製作するためのシミュレーションでは歯並びを整えるだけではなく、予想される望まない歯の動きに対しての調整を加えることが治療をスムーズに進めるためには必要です。
この調整については機会があれば詳しく書きたいと思います。