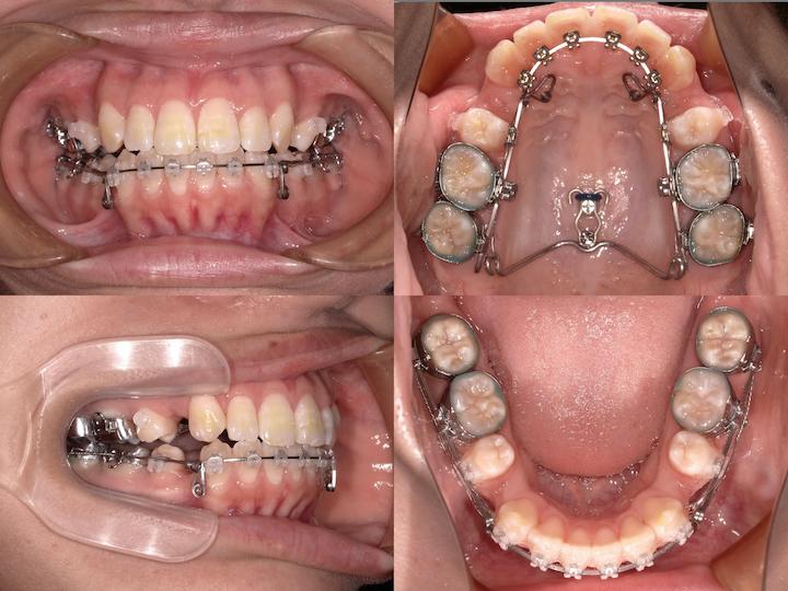
口の閉じ辛さの治療
治療期間:1年5ヶ月
上下顎4番を抜歯して、前歯を後方に移動しました。
フィルターが選択されていません
フィルターが選択されていません
当院では初診カウンセリングを行っております。
矯正歯科を専門に行う歯科医師があなたの歯並びの状態に応じた治療方針をご説明いたします。
また、治療を始めるかどうかは決めていない方でも不安や疑問をご相談ください。
裏側・マウスピース歯列矯正の初診と検査の予約
初診コンサルテーションまたは精密検査のご予約はWeb or フリーダイヤルから
Web予約は数を制限している時間帯もございますのでお急ぎの場合は診療時間内にお電話ください。
医療法人梅田リンガル 矯正歯科医院 大阪オルソ
診療時間