代表的な治療例

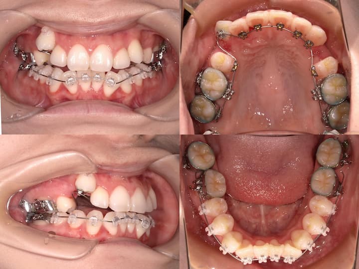
正中離開の矯正治療症例

治療期間:1年

上顎は裏側矯正で、下顎はマウスピース矯正で治療しました。

治療方法

初診時年齢17歳11ヶ月の大阪市内在住の高校生の患者様です。
すきっ歯と歯のガタつきを主訴にご来院されました。
大臼歯の噛み合わせが良好だったことと、できるだけ早く、また費用を抑えたいというご要望から部分矯正で治療しました。
上顎は第一大臼歯までの裏側矯正で、下顎はマウスピース矯正装置を使用しました。
前歯の咬合を改善するために顎間ゴムも併用しています。
治療期間は1年で、通院頻度は1ヶ月に1回です。

リスク

部分矯正は噛み合わせを崩すリスクがあります。
大臼歯の咬合を崩さないように注意深く観察しながら進めました。

治療結果

正中離開が改善され、良好な咬合状態を獲得しました。
治療費は総額594,000円でした。

口の閉じ辛さの治療

治療期間:1年5ヶ月

上下顎4番を抜歯して、前歯を後方に移動しました。

治療方法

初診時年齢24歳10ヶ月の患者様です。
口の閉じ辛さと歯の重なりを主訴にご来院されました。
上下左右4番を抜歯してアンカースクリューで上顎6番を固定して前歯を後方に牽引しました。
さらに下顎骨が後方位だったため、上顎大臼歯を圧下(上方向に移動)して下顎骨の前上方への回転を促しました。

リスク

本症例は治療期間が1年5ヶ月と比較的短く、前歯の移動量が大きいことから後戻りリスクが高くなります。
フィックス型リテーナーで前歯を固定して、その上から1.0mmのマウスピースで後戻りを防止しています。

治療費は1,430,000円でした。

開咬(オープンバイト)

治療期間:1年6ヶ月

前歯が噛み合っていないため、上の奥歯を上方向に動かして、前歯は縦に伸ばして治療を行いました。

治療名

大臼歯の圧下と上顎前歯の挺出

メンテンス頻度

1ヶ月半に1回程度

治療内容

上顎大臼歯の圧下(上方向に移動)と上顎前歯の挺出(縦に伸ばす)を行いました。下顎前歯は極力挺出させず、下顎骨の回転により前歯を噛み合わせるような治療計画を立てました。

リスク

開咬(オープンバイト)は後戻りにより、治療後に再び前歯が噛み合わなくなるリスクがあります。大臼歯の圧下のみや前歯の挺出のみの治療ではそれぞれの歯の移動量が大きくなり後戻りのリスクが大きくなります。 したがって大臼歯の圧下と前歯の挺出を組み合わせることでそれぞれの歯の動きをできるだけ小さくして後戻りのリスクを減らしています。このケースでは治療終了2年後に前歯が噛み合う状態を維持できています。
費用は総額で1,080,000円でした。

下顎前突(受け口)の治療例

治療期間:1年10ヶ月

下顎前突を抜歯や骨切り手術なしで治療しました。

治療方法

両側の下顎の大臼歯が前方位だっため、下顎の第二大臼歯の後方に歯科矯正用アンカースクリューを埋入し、下顎大臼歯の遠心移動を行いました。骨格性下顎前突症の治療は教科書的には手術で顎の骨を切って骨ごと後方に移動することになっていますが、入院期間や体の負担から社会人にとっては難しいことが少なくありません。骨格性の下顎前突が重度でなければインプラント矯正である程度受け口を改善することができます。

リスク

骨格性の問題を歯の移動で解決するため、後戻りのリスクが通常の矯正治療より高い可能性があります。保定装置の20時間以上の使用と定期的な噛み合わせの評価が必要となります。
治療費は総額で136万円(税別)でした。

治療例一覧

選択中のフィルター 全47件

フィルターが選択されていません


治療例

症例

選択中のフィルター 全47件

フィルターが選択されていません


治療例

症例

カウンセリング風景
COUNSELING

初診カウンセリングとは

治療前の疑問など、まずはご相談ください

当院では初診カウンセリングを行っております。
矯正歯科を専門に行う歯科医師があなたの歯並びの状態に応じた治療方針をご説明いたします。
また、治療を始めるかどうかは決めていない方でも不安や疑問をご相談ください。

裏側・マウスピース歯列矯正の初診と検査の予約

初診コンサルテーションまたは精密検査のご予約はWeb or フリーダイヤルから

Web予約は数を制限している時間帯もございますのでお急ぎの場合は診療時間内にお電話ください。

医療法人梅田リンガル 矯正歯科医院 大阪オルソ

  • 住所
    〒530-0001 大阪府大阪市北区梅田3丁目-2-123 イノゲート大阪 12階
  • アクセス
    大阪駅西口、KITTE大阪1F、ルクアイーレ2Fより直通
    「イノゲート大阪」低層階用エレベーターで6Fに、中層階用エレベーターへ乗り換え12Fにお越しください。

    道に迷われた際には遠慮なくお電話ください。
    詳しいアクセス方法は、アクセスページでもご案内しております。

診療時間

平日
11:00-14:00, 15:30-20:00
土日
9:30-12:30, 14:00-18:30
月・木・祝・第3日曜
休診
LINE相談 WEB予約 WEB予約 アクセス アクセス メール相談 メール相談